Referenser
Rolf Ridby
Jag har lidit av tandvårdsrädsla sedan jag var 5 år, har alltid haft mycket svårt att gå till tandläkaren, har bara gått när jag haft riktigt alvarliga tandproblem.
För ett par år sedan började jag gå till Tandläkaren Jasmin Kalantari, det första vi gjorde var att börja arbeta bort min tandvårdsrädsla. Jasmin och hennes medarbetare har gjort ett otroligt bra arbete gällande mitt problem, som nu är helt borta. Nu tycker jag att det är roligt att gå till tandläkaren. Både Jasmin och hennes personal håller hög kvalité, man blir väl omhändertagen och känner sig hemma. Jag rekommenderar verkligen tandläkaren Jasmin Kalantari.
Nu går jag med glädje till tandläkaren. Äntligen så känner jag ingen rädsla.


Lena Lindberg
Ända sedan en upplevelse hos tandläkaren då jag var åtta år har jag fasat och våndats inför mina tandläkarbesök. Jag har undvikit att gå till tandläkaren annat än om det inte har varit absolut nödvändigt.
Men så för ungefär sju år sedan besökte jag tandläkare Jasmin Kalantari och det förändrade allt. Efter bara två besök var min tandvårdsrädsla borta. Jasmin är väldigt observant och förstående. Hon är väldigt duktig på smärtlindring, jag har inte haft ont en enda gång. Trots att jag sedan dess behövt göra rätt stora ingrepp så kan jag slappna av och inte behöva vara livrädd.
Idag är jag 60 år och har inga problem att gå till tandläkaren. Det känns fantastiskt.
Camilla Wolt
Jag kommer inte ihåg om det var någon särskild händelse som gjorde att jag som barn blev rädd för att gå till tandläkaren. Jag kommer väldigt väl ihåg känslan av oro då ingen tog sig tid och berättade vad som skulle hända under tandläkarbesöket.
I 20-årsåldern började jag gå till en duktig och förstående tandläkare som jag litade på. När han gick i pension så rekommenderade han mig att kontakta tandläkare Jasmin Kalantari på Käkkirurgiska Centrum. Det har jag aldrig ångrat.
Jasmins bemötande och engagemang skapar ett lugn som gör att jag känner mig trygg vid varje besök. Och kanske viktigast av allt, jag får alltid information om vad som ska göras. Efter varje behandling slås jag av tanken – ”var det inte värre än så?”. Jasmin märkte att jag även hade spänningar i käkmuskulaturen, något som gav mig svår spänningshuvudvärk men främst ihållande smärta kring käken. Hon rekommenderade en behandling som resulterat i att jag idag är helt fri från smärta. Det är helt otroligt!

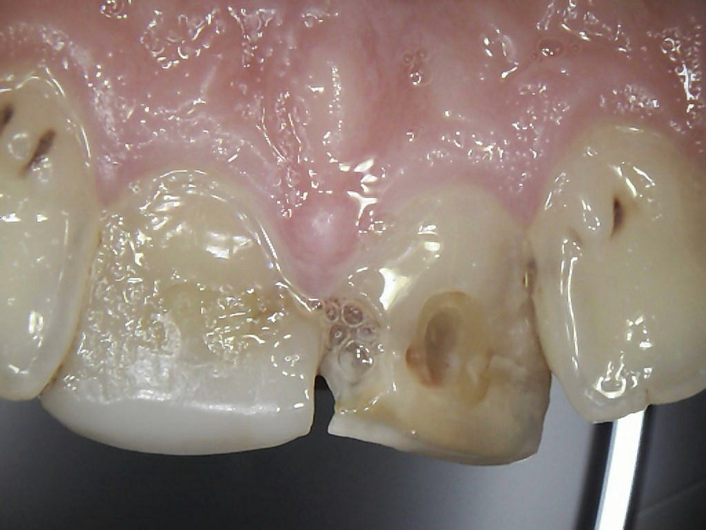
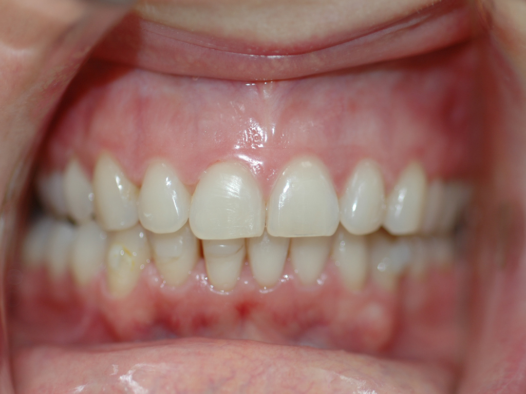
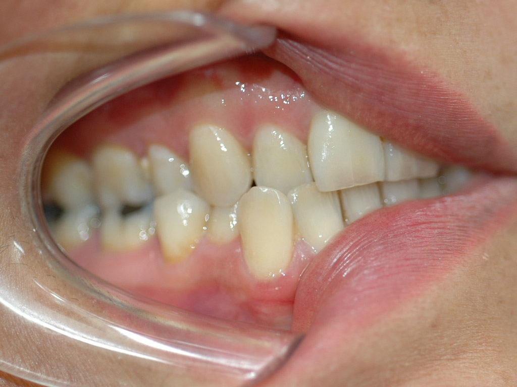
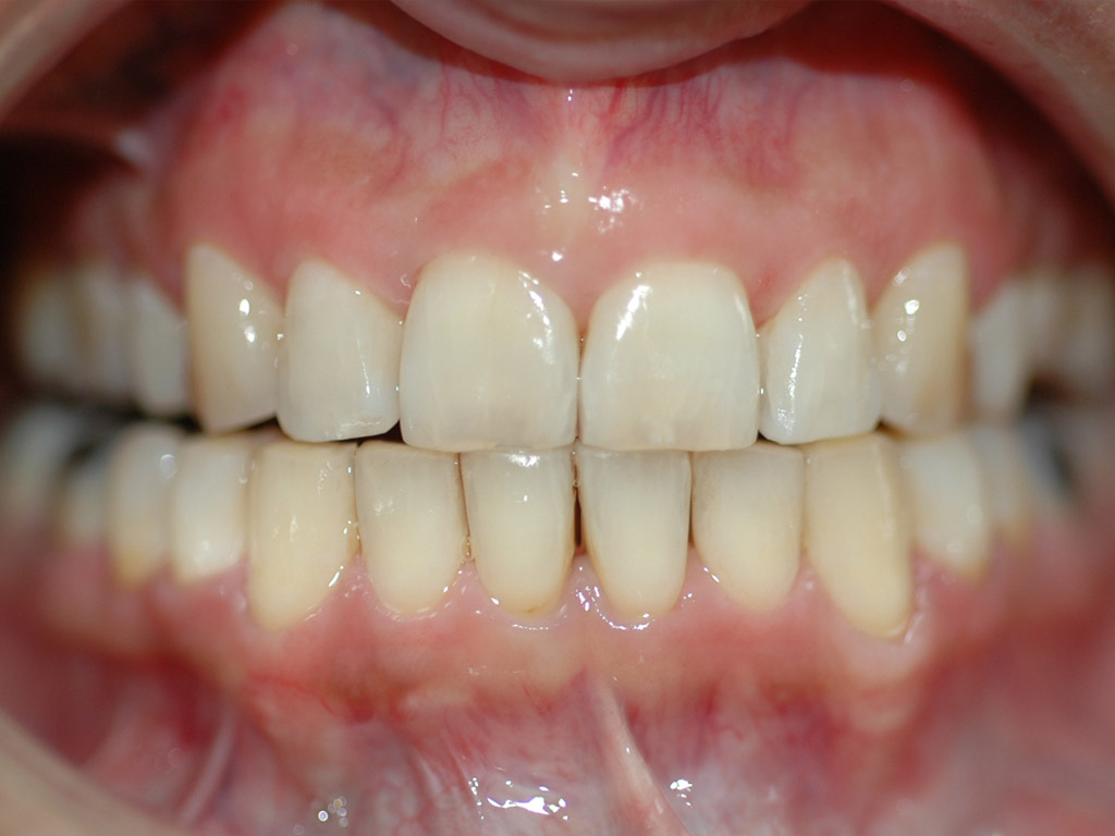
Guidad käkkirurgi
Jag vill rekommendera Södertälje Käkkirurgiska Centrum för deras strålande kundbemötande och effektiva behandlingssätt. Min behandling tog ett halv år och jag tycker att tiden var värt det. Att inte ha stressat fram processen gjorde att mina tänder blev perfekta.
Nu får jag mycket beröm för mina tänder och många säger att de ser ut lika riktiga – jag håller med!
Tack så mycket!
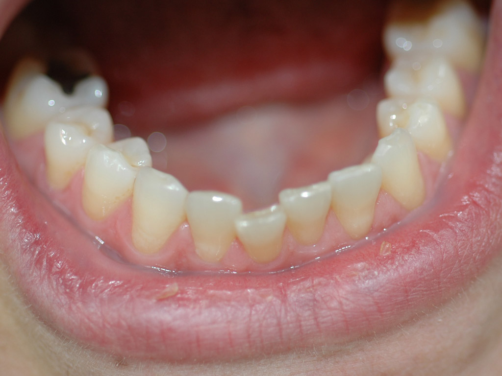
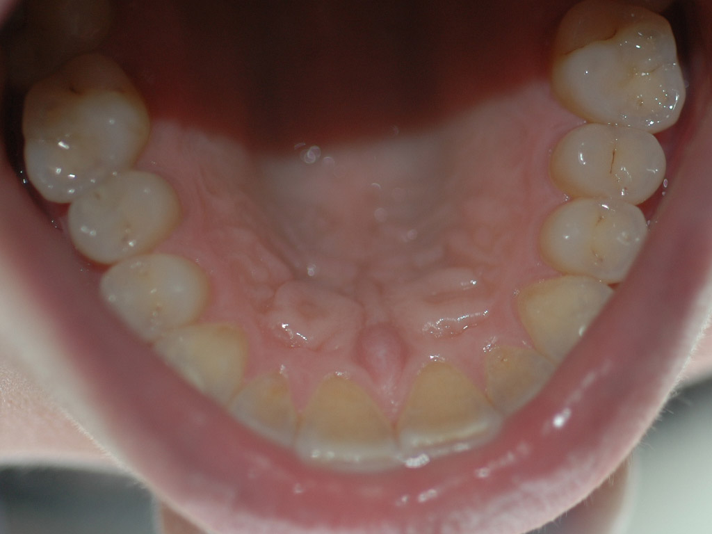
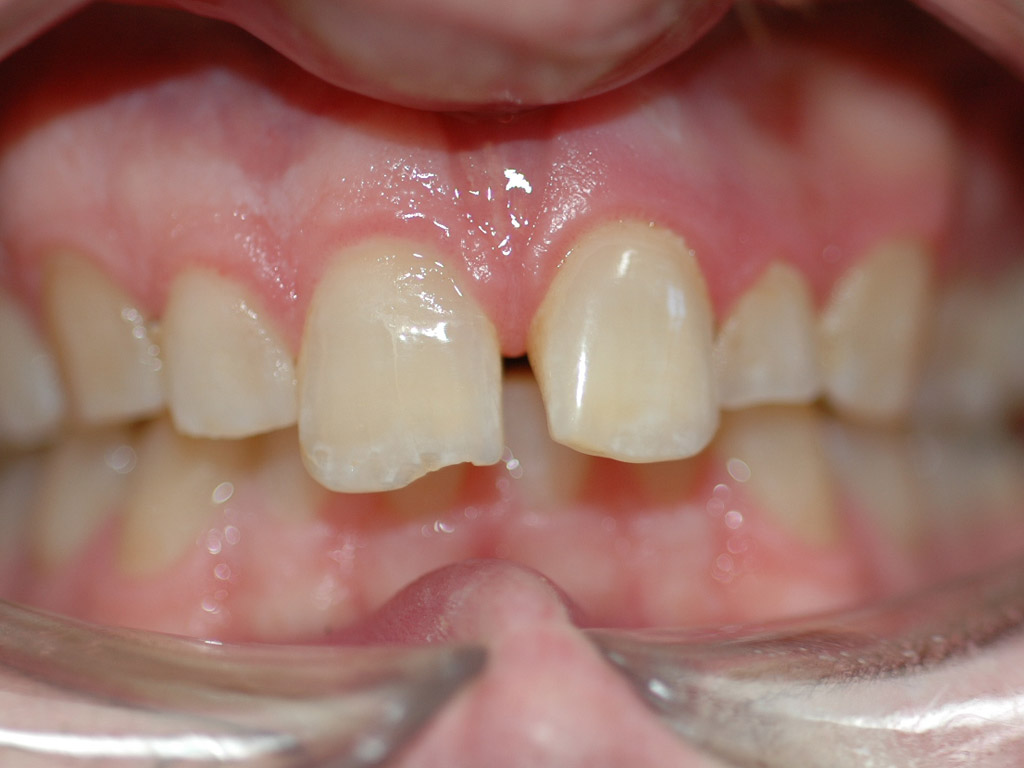
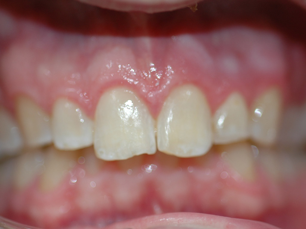
Före/Efter














