Endodonti

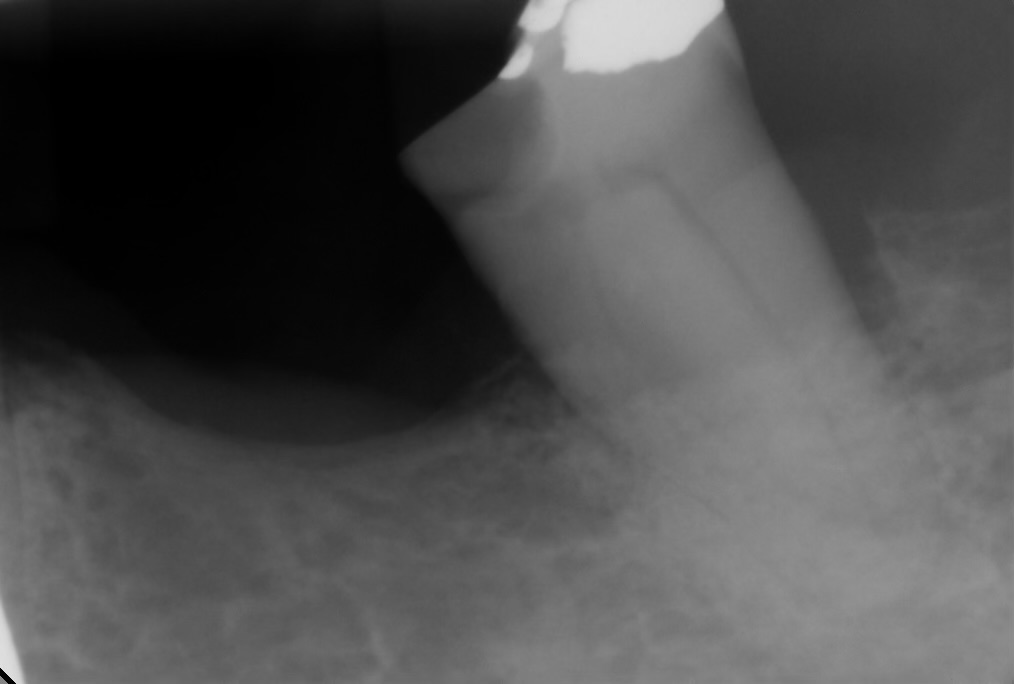
Endodonti är den gren inom tandvården som behandlar problem som uppstår i tandens pulpa, det inre mjuka vävnadsskiktet som innehåller nerver och blodkärl. Pulpan kan skadas eller bli inflammerad till följd av djup karies, tandtrauma eller sprickor i tanden, vilket kan leda till svår smärta och infektion om det inte behandlas.

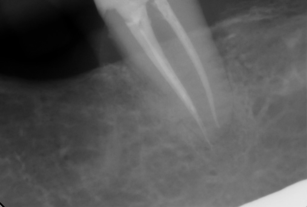
Rotbehandling är den vanligaste endodontiska behandlingen och innebär att man avlägsnar den skadade eller infekterade pulpan. Detta görs genom att rengöra, forma och fylla rotkanalen för att förhindra ytterligare infektion eller skador. Målet med rotbehandlingen är att bevara den naturliga tanden och återställa dess funktion, vilket är en effektiv metod för att undvika tandutdragning.

Hos oss utförs alla endodontiska behandlingar med hjälp av mikroskop, vilket gör det möjligt för våra specialutbildade tandläkare att arbeta med hög precision och säkerhet. Användningen av mikroskop är en viktig faktor som skiljer oss från allmänna tandläkare, då det ger bättre insyn i tandens rotkanalsystem och möjliggör en mer noggrann rengöring och fyllning.

Vår tandläkare har specialiserad utbildning inom endodonti och omfattande erfarenhet av att arbeta med mikroskop för att kunna erbjuda den mest avancerade vården. Denna precision möjliggör lyckade behandlingar som kan eliminera smärta och förhindra spridning av infektioner till närliggande vävnader och ben. I vissa fall, där en tand har mer komplicerade rotkanaler eller återkommande infektioner, kan en kirurgisk insats som apikalkirurgi vara nödvändig.

Symptom som kan indikera behovet av endodontisk behandling inkluderar långvarig tandvärk, ökad känslighet för kyla eller värme, svullnad i tandköttet eller en böld i området kring den drabbade tanden. Om man upplever dessa symptom är det viktigt att uppsöka tandvård för en undersökning och diagnos.

För att förebygga endodontiska problem bör man ha en god munhygien med regelbunden borstning och användning av tandtråd för att avlägsna plack och bakterier. Regelbundna besök hos tandläkaren är också viktiga för att identifiera och behandla problem i ett tidigt skede, innan de utvecklas till mer allvarliga tillstånd.